A young woman with long hair wearing a red top and standing in an indoor setting with other people in the background.

Smile Gallery

The image shows a close-up of a person s mouth with yellowed teeth and some decay visible around the edges, indicating poor oral hygiene or dental health issues.

Before

The image shows a close-up of a person s mouth with a wide smile revealing white teeth and a pink tongue, against a grey background.

After

The image shows two close-up photographs of a person s teeth with severe dental decay and discoloration, emphasizing oral health issues.

Before

The image shows a close-up view of an open mouth with yellowed teeth and gums, displaying a set of dental implants.

After

The image shows a close-up of a person s face with an exaggerated smile revealing multiple teeth and gums, which suggests that this could be an advertisement for dental care or a similar service.

Before

The image shows a person with a large smile revealing white teeth, wearing lipstick.

After

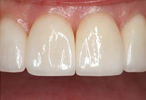
The image shows a close-up view of a person s teeth with a focus on dental veneers, displaying a bright smile with white fillings.

Before

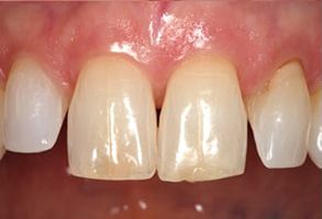
This image displays a close-up view of a person s teeth with a focus on dental care, showcasing a smile with a clean and well-maintained appearance.

After

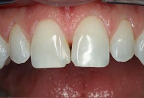
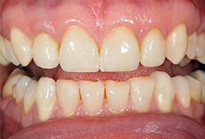
The image shows a close-up of a person s teeth with a focus on dental decay, showcasing the need for oral hygiene and dental care.

Before

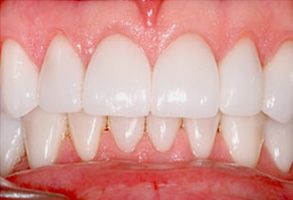
The image shows a close-up view of a person s teeth with a focus on a bright smile, highlighting the cleanliness and whiteness of the teeth.

After

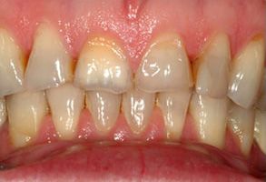
A close-up photo of a person s teeth with visible gum disease and staining, showcasing a dental condition requiring professional attention.

Before

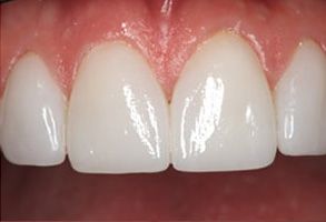
The image shows a close-up view of a person s teeth with a focus on a bright smile.

After

The image shows a person s mouth with yellowed teeth and a missing tooth, featuring a partial upper denture.

Before

The image shows a close-up of a person s teeth with a focus on a dental implant, highlighting its integration into the natural teeth.

After

Schedule a visit today!
Contact Us
SMS Consent
Submit

Thank You!

We appreciate you taking the time to visit our site. We'll review your message and be in touch with you soon.

Continue
A person using a laptop with their hands on the keyboard at a desk, surrounded by office items like a phone, pen, and notebook.